طرق طبيعية لعلاج مرض السيلان الأبيض
12:00 م - الإثنين 21 مايو 2012
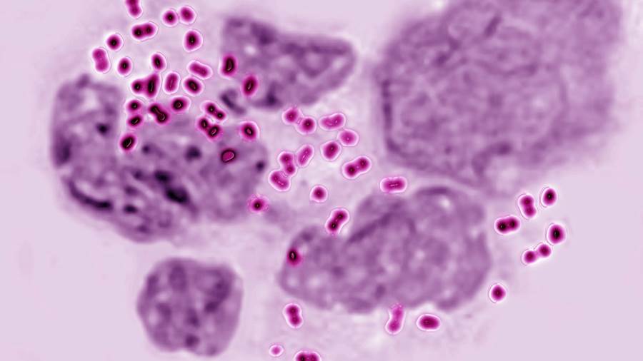
أكثر أسباب السيلان الأبيض هو التهاب مهبلي تسببه عادة جرثومة التريكوموناس Trichomonas
السيلان الأبيض هو سائل أبيض أو أصفر يفرزه المهبل، وهو اشارة لمرض بالمسالك التناسلية أو ربما بمكان آخر من الجسم، وقد يكون بسيطا أوخطيرا يجب سرعة المبادرة بعلاجه.
تفرز غدد المهبل عادة قدرا معينا من مادة مخاطية من أجل ترطيب غشاء المهبل، ويزيد هذا الافراز عند وقت الاباضة ووقت الحيض وعند التهيج الجنسي.
ولكن غزارة الإفراز عن الحد الطبيعي قد تدل على حالة مرضية تستدعي استشارة الطبيب المختص، والافراز الأبيض أو حتى الأصفر الكثيف الذي يشبه القشدة يحتوي على صديد، كما أنه يدل قطعيا على وجود عدوى، أما الافراز الرائق فيدل على مرض خفيف مزمن، وفي الحالة الأولى يكون الافراز ذا رائحة كريهة وتصحب ذلك حكة أو تهيج.
ماهي أسباب السيلان الأبيض؟
إن أكثر أسباب السيلان الأبيض هو التهاب مهبلي تسببه عادة جرثومة التريكوموناس (Trichomonas) ويكون فيه نوع من الافراز أصفر اللون برائحة كريهة ومصحوبا بحكة مزعجة. وتعيش جراثيم هذا المرض عادة في المستقيم دون أن تسبب أي ضرر للمستقيم، ولكنها قد تنتقل إلى المهبل عند تنظيف الشرج من الخلف إلى الأمام بعد عملية التبرز.
ولا تكفي جراثيم التريكوموناس لإحداث السيلان الأبيض ولكن لابد أن يصحب ذلك ضعف في حموضة المهبل، كما يحدث في أثناء عملية الحيض وبعد، وقد تنتقل جراثيم المرض عند الاتصال الجنسي من الرجل إلى المرأة أو العكس ولذلك يجب علاج الزوج مع الزوجة لمنع اصابتهما بالعدوى مرة أخرى.
إن من أسباب السيلان الأبيض أيضا التهاب عنق الرحم بعد الولادة حيث يسبب ذلك هيجان غدد العنق وزيادة افراز السائل، ومن أسباب السيلان الأبيض ايضا الأمراض الزهرية وبالأخص مرض السيلان ويكون الافراز حينئذ أصفر اللون غليظ القوام غزير الكمية مصحوبا بحرقة شديدة في التبول.
كما يسبب السيلان الأبيض انواعا أخرى من البكتريا والفطريات، كما قد تسبب العدوى من الأجهزة التي يدخلنها النساء في المهبل وتترك هناك فترة طويلة مثل لولب منع الحمل.
كما أنه من الممكن أن يكون السيلان الأبيض علامة مبكرة لسرطان عنق الرحم أو من البوليب الذي ينمو على هيئة اورام صغيرة على الغشاء المخاطي للمهبل وهو حميد الا انه قد يتحول الى ورم خبيث، او ربمايتسبب السيلان الأبيض نتيجة الأورام الليفية او ربما يكون دليل احتقان المهبل بسبب آخر كمرض القلب مثلا او سوء التغذية أو التهاب قناتي فالوب او تدرنهما، أو يتسبب في المسنات نتيجة الهزال الشديد.
كما يجب ألا ننسى أن بعض النساء يخرجن افرازا غير التهابي وذلك نتيجة للاضطرابات النفسية ويزول بزوال السبب، وقد يحتاج الأمر إلى غسل مهبلي إذا دام طويلاً.
كما أن السيلان الأبيض قد يحدث لدى الأطفال وصفار الفتيات ويكون سببه افراز من الفرج فقط وليس من المهبل، وسببه العدوى وضعف المقاومة أو قد يتسبب من دودة الأكسيورس التي تتواجد داخل المستقيم وفي الزائدة الدودية، بجوار المهبل بطبيعة الحال وذلك بعد غسل الشرج بعد قضاء الحاجة.
الأعشاب
علاج السيلان الأبيض بالأعشاب والزيوت العطرية
في العلاج يجب أن يستشار الطبيب لمعرفة الأسباب ومن ثم القيام بعلاجه وعادة يعالج السيلان الأبيض بالغسيل المهبلي وبالأدوية معا، كما يعالج عنق الرحم بالكي بواسطة الطبيب أو الجراح المتخصص في مثل هذا النوع من العلاجات.
أما العلاج بالأعشاب فتتلخص طرق العلاج حسب التالي:
- الزعتر Thyme
لقد تحدثنا كثيرا عن الزعتر في عدة مواضيع وطريقة استعمال الزعتر البري هو أخذ ملء ملعقة كبيرة من الزعتر البري ووضعه في كوب ثم يضاف له الماء المغلي حتى يمتلئ الكوب ثم يحرك جيداً ويترك لينقع لمدة 15دقيقة ثم يصفى ويشرب الماء فقط وذلك بمعدل مرتين إلى ثلاث مرات في اليوم بعد وجبات الطعام ويفضل أن تكون الأخيرة عند النوم.
كما يمكن عمل مقعده ساخنة ودش مهبلي من الزعتر وذلك بغلي مقدار 50جراما من الزعتر الطازج في حوالي 5لترات من الماء لمدة خمس عشرة دقيقة ثم يصفى هذا المغلي ويوضع في معقدة ساخنة بها ثم تجلس فيها المرأة لمدة نصف ساعة قبل العشاء يوميا ولمدة شهرين على الأقل حتى ولو تم الشفاء ويمكن للنساء المتزوجات عمل الدش المهبلي بمعدل ثلاث مرات في اليوم مع ضرورة الغسل اليدوي المستمر داخل وخارج المهبل حتى يمكن الحصول على نتيجة جيدة ويجب عدم استخدام الدش المهبلي من قبل الفتيات اللائي لم يتزوجن، ملاحظة يباغ الدش المهبلي في الصيدليات.
البردقوش Marjoram
البردقوش أو ما يعرف بالمردقوش أو المرزكوش أو الدوش (عند أهل الحجاز) أو الوزاب (عند أهل الجنوب) تحدثنا عنه وعن مكوناته واستخداماته ومن أهم استخداماته، استخدامه كدش مهبلي حيث يؤخذ ما مقداره ملء ملعقتين كبيريتن من نبات البردقوش ووضعها في مقدار لترين من الماء ويترك على النار ليغلي مدة نصف ساعة ثم يصفى جيدا ثم يستعمل هذا المغلي المصفى كدش مهبلي للسيدات اللاتي سبق وأن تزوجن كما تغسل به يدويا المنطقة المحيطة بالمهبل والفرج من الخارج والداخل ويجب الاستمرار في هذا العلاج يوميا لمدة لا تقل عن ثلاثين يوما.
إكليل الجبل ROSEMARY والشمر FENNEL
واكليل الجبل يعرف ايضاً باسم حصا البان وهو نبات عشبي معمر عطري الرائحة يحتوي على زيت طيار وهو يستخدم كتابل وكعلاج على نطاق واسع وقد تحدثنا عنه في عدة مواضيع كما تحدثنا كثيراً عن بذور الشمر والطريقة ان يؤخذ ملء ملعقة صغيرة من مسحوق نبات اكليل الجبل وتخلط مع ملء معلقة صغيرة من مسحوق بذور الشمر ويوضع المزيج في كوب ثم يضاف اليه الماء المغلي حتى الامتلاء ويترك لينقع بعد التقليب لمدة 15دقيقة ثم يصفى ويشرب بمعدل كوب الى كوبين في اليوم الواحد بعد الوجبات مباشرة ويستمر استخدام هذا العلاج لمدة ثلاثين يوماً على الاقل.
الورد ROSE
تستعمل بتلات الورد او الوردة قبل تفتحها على نطاق واسع في العلاج الطبي وفي انتاج اغلى انواع الزيوت العطرية يؤخذ ملعقة صغيرة من بتلات الورود وتوضع في كوب ثم يضاف لها الماء المغلي حتى يمتلىء الكوب ثم تحرك جيداً ويترك لمدة 15دقيقة لينقع ثم بعد ذلك يصفى ويشرب بمعدل كوبين الى ثلاثة اكواب في اليوم الواحد بعد الوجبات الغذائية مباشرة ويستمر الاستعمال لمدة لاتقل عن ثلاثين يوماً.
البابونج CHAMOMILE
ازهار البابونج تستخدم على نطاق واسع لعسر الهضم وكطاردة للارياح والغازات وفاتحة للشهية ولها استعمالات خارجية كثيرة وتحتوي على زيت طيار يختلف عن جميع الزيوت الطيارة بلونه الازرق المميز لقد تحدثنا عنه كثيراً في مواضيع سابقة ولكن نتحدث عنه اليوم كدش مهبلي وكمقعدة ساخنة لعلاج السيلان الابيض يؤخذ اربع ملاعق كبيرة من ازهار البابونج دون سحق وتوضع في وعاء ثم يضاف اليها لترين من الماء ويوضع الوعاء على النار حتى درجة الغليان ويستمر في الغليان لمدة لاتقل عن خمس عشرة دقيقة، ثم يصفى هذا المغلي ويضاف الى المقعدة الساخنة حيث تجلس فيها المرأة او الفتاة مدة نصف ساعة ويكون ميعاد هذه الجلسة قبل العشاء ليلياً وتكرر هذه الجلسة لمدة شهرين متتاليين دون انقطاع كما يؤخذ من المغلي المصفى مايكفي لعمل دش مهبلي ويستخدم حسب ماذكرنا مسبقاً في الزعتر وذلك للنساء اللاتي سبق ان تزوجن ولايستعمل الدش المهبلي للفتيات اللاتي لم يتزوجن
الخل
يمكن استعمال الخل المخفف كدش مهبلي لعلاج السيلان الابيض وذلك بأخذ ملء ثلاث ملاعق اكل ومزجها بلتر واحد من الماء الذي سبق غليه وتبريده ثم يستعمل دشاً مهبلياً مرة واحدة في اليوم ولمدة ثلاثين يوماً ولايستخدم من قبل الفتيات اللاتي لم يسبق لهن الزواج.
بذور البقدونس
تستعمل بذور البقدونس لعلاج السيلان المهبلي وذلك بأخذ 110جرامات من البذور وتضاف الى لتر واحد من الماء ويغلي لمدة 15دقيقة ثم يصفى ويستعمل فاتراً كدش مهبلي وذلك بمعدل مرة واحدة الى مرتين في اليوم والاستمرار حتى الشفاء التام.
ورق الجوز:
يستعمل ورق الجوز لعلاج السيلانات المهبلية البيضاء وذلك بأخذ ثلاث ملاعق كبيرة من ورق الجوز الجاف ويمكن استعمال الاوراق الخضراء إذا لم يوجد اوراق يابسة وتضاف الى لتر من الماء وتوضع على النار وتترك تغلي لمدة ثلاث دقائق فقط ثم يزاح من على النار ويترك ينقع لمدة عشر دقائق ثم يصفى ويستعمل كدش مهبلي مرة واحدة في اليوم ويكرر ذلك لمدة ثلاثين يوماً.
اوراق اليوكالبتوس:
واوراق اليوكالبتوس تجمع من نبات شجرة اليوكالبتوس المعروف لدينا في السعودية باسم شجرة الكينا وهو اسم خاطئ او شجرة الكافور وهو كذلك اسم خاطئ حيث تؤخذ الاوراق المحتوية على الزيت الطيار بمقدار قبضة اليد ثم تضاف الى لتر من الماء ويوضع على النار ليغلي لمدة عشر دقائق ثم يصفى ويستعمل فاتراً كدش مهبلي وذلك بمعدل مرة واحدة في اليوم ويكرر الاستعمال حتى الشفاء بإذن الله.




